Meet the Expert

We are pleased to invite you to a conference on Diagnostics of Cutaneous Melanocytic Tumors.

Renowned international experts have been invited to ensure high scientific quality and ample opportunity for discussion and interdisciplinary exchange.

Attendance
This course is with on-site attendance only and will not be recorded.
Course language: The course will be provided in English.

Speakers:
Arnaud De La Fouchardière, MD, PhD
Senior Consultant Dermatopathologist at Centre Léon Bérard, Lyon, France
Dr. De La Fouchardière is internationally recognized for his expertise in melanocytic pathology, with a particular focus on diagnostic challenges, tumor classification, and molecular–pathological correlations. Dr. De La Fouchardière has contributed to numerous scientific publications, international guidelines, and WHO classifications, and is an active member of expert networks and panels within dermatopathology.

Gerardo Cazzato, MD, PhD
Consultant Dermatopathologist
ICDP–UEMS Certified Specialist in Dermatopathology
University of Bari Aldo Moro, Italy
Consultant and ICDP–UEMS certified specialist in dermatopathology at the University of Bari Aldo Moro. His work covers a broad range of topics within dermatopathology, with particular experience in melanocytic lesions, melanoma, and a wide spectrum of cutaneous tumors. He is actively involved in routine diagnostic practice and academic work and has contributed to numerous scientific publications. In addition to the conventional dermatopathology, he has participated in academic projects involving digital pathology and the exploratory use of AI-based tools as supportive methods in dermatopathological diagnostics.

Erling Undersrud, MD
Consultant Pathologist
Specialist in Dermatopathology (ICDP–UEMS)
Stavanger University Hospital
Consultant pathologist and ICDP–UEMS certified specialist in dermatopathology at Stavanger University Hospital. He has a strong professional profile within dermatopathology and is a member of the Norwegian professional working group for dermatopathology.

Assia Bassarova, MD, PhD
Senior Consultant Dermatopathologist
Oslo University Hospital – Ullevål
Senior consultant dermatopathologist at Oslo University Hospital – Ullevål. She has a strong academic and diagnostic profile within dermatopathology, with particular expertise in melanocytic lesions, melanoma, and a broad range of cutaneous tumors. Dr. Bassarova has contributed to numerous scientific publications.

Linn Landrø, MD, PhD
Consultant Dermatologist at Volvat Medical Centre
Consultant dermatologist with a strong clinical focus on pigmented lesions, melanoma, and the assessment of skin tumors. She has broad experience in clinical dermatology, including diagnostic evaluation, patient follow-up, and interdisciplinary collaboration related to skin cancer.

Henrik Jespersen, MD, PhD
Consultant Medical Oncologist
Head of Melanoma Research Group
Oslo university hospital – Radiumhospitalet

Consultant medical oncologist and researcher with extensive clinical and academic experience in melanoma and skin cancer oncology. He is recognized for his work in melanoma treatment and has a strong academic profile, with contributions to numerous scientific publications.

Arrangør
Akershus University Hospital Department of Pathology

Målgruppe
The conference will bring together pathologists, clinicians, researchers, and trainees to discuss recent advances, emerging challenges, and future directions in the continuously evolving field of pathology.

Mål for arrangementet
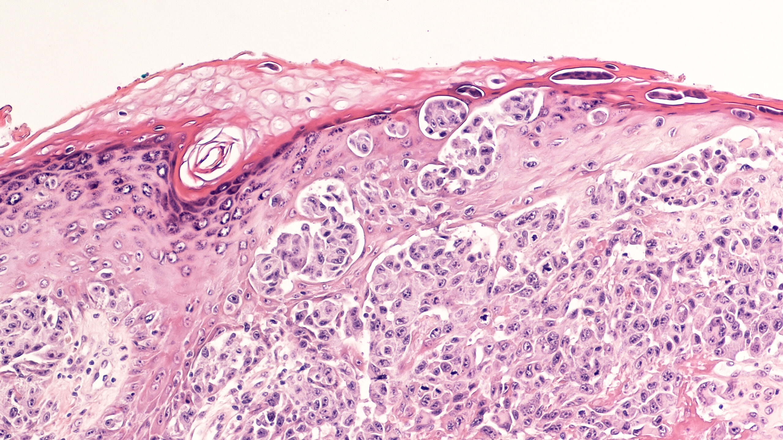
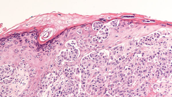
The meeting will provide a platform to discuss recent advances, emerging challenges, and future directions in this rapidly evolving field of pathology, with a particular focus on the WHO 2025 Classification.

Påmeldingsfrist
30. april 2026 kl 12.00

Pris for arrangementet
Ordinær deltager: 4500,-

Godkjenninger
Følgende godkjenning er gitt av Legeforeningen:
Patologi godkjennes med 17 timer for spesialistenes etterutdanning.
Hud og veneriske sykdommer godkjennes med 17 timer for spesialistenes etterutdanning.

Kontaktperson for arrangementet
Tonje Eidsnes, 99549285 (tonje.eidsnes@ahus.no)

Bevertning
Lunch will be served on both days, along with refreshments during breaks. Please indicate any food allergies or dietary requirements in the registration form.

To view and use the registration solution, you must accept cookies. Please check your cookie settings using the icon at the bottom left of the page.

18. mai 2026
09:30 - 17:10
Akershus University Hospital Street: Sykehusveien 25 Location: Main entrance - The Large Auditorium